


.jpg)
.jpg)


























.jpg)

.jpg)
.jpg)




.jpg)
.jpg)



.jpg)
.jpg)

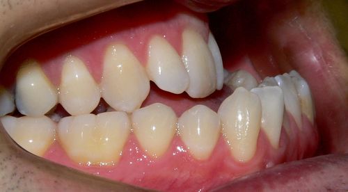
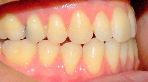
Occasionally braces alone cannot correct the smile in a non-growing patient and we work closely with a surgeon to get the best results possible. In this case, surgery was required to move the lower jaw back, bringing the chin to the middle and the upper jaw forward. Fixed braces




“Living in Tanzania all my life, i never had access to the right quality of orthodontic care that i needed to correct my extremely pronounced upper teeth. It took just one visit to Dr Bass for them to do a detailed check up and suggest a method of treatment that addressed not only my physical distance from them (different continents!) but also the needs of my job which required me to be able to remove the correction device often when i was speaking in public. Over the next year and a half, and with no more than 4 physical visits to london, they fixed my teeth more than i could have ever imagined and gave me a smile that i am finally happy with! Both Dr Neville and Dr Anton Bass are exceptional dentists and human beings, and even as an adult going for a treatment that is usually reserved for younger individuals, i was always at home and comfortable. The entire team there is outstanding and any future generations of my family that need the same care will certainly be their patients!”
Dhruv Jog
“Dr Anton and Dr Neville Bass did such a great job with my teeth and I’m so pleased with the results. The whole team are very professional, friendly and welcoming and I always look forward to going back for my annual check up see to everyone again. Anton and Neville are very experienced and although I was a little apprehensive to start with they soon put me at ease with their wealth of knowledge, expertise and patience in taking considerable time to explain each step in the treatment process.”
Christopher Bourn
“What an amazing team! The results are fantastic.I first took my eldest son to Bass Orthodontics 3 years ago and they have transformed both his looks and his confidence.Everyone is so friendly and put my son at his ease immediately.I can honestly say that he did not find the experience in anyway disagreeable despite having significant work done.
My other sons now are having treatment and they even attend the appointments on their own so comfortable are they with the staff. I am grateful to Neville and Anton Bass and their superb team for the work they have done which will last my children a lifetime. I would highly recommend them to anyone.”
Sule Cairaschi
“I have been a patient for over 15 years with Bass Orthodontics. The staff are extremely kind and friendly. Joan in particular has been there as long as I can remember and she always makes an extra effort to help in any way possible. Both Dr Bass’ are extremely professional and excellent at their work. I wouldn’t trust anyone else with my orthodontics! They have a huge range of treatment options to suit your preferences and desired outcomes. Highly recommended!”
Saqib Sheikh
“I had my orthodontic treatment as a fiftieth birthday present to myself. The treatment I had had as a child had not worked well and my teeth were moving over time. My smile was crooked and I usually smiled with my mouth closed. Once I arrived at Bass Orthodontics I felt immediately optimistic that my teeth would emerge straight at last. It has been a great journey. I could never have believed the relaxing effect of straightening my smile. My whole face feels aligned. My face muscles are relaxed. My smile is great and my confidence has improved. I would recommend this practice to anyone to improve their wellbeing. The team are expert, warm and professional. Thank you Bass Orthodontics!”
Henrietta Esiri
“Bass Orthodontics is a very special place. The team are incredibly kind and welcoming and really put children at ease so having a brace seems like a perfectly natural thing to be doing. They also manage to get across the importance of wearing and looking after your brace to the kids which they just accept and get on with. As a child I was a patient there and still get comments on how nice my teeth are. Now my children see Mr Bass senior and junior with fantastic results. I really can’t recommend this clinic highly enough.”
Sally Brunner
“We had a complicated case of teeth in the family and I believe only a few doctors could have addressed that properly. Dr. Bass was kind, patient, and competent – what else can you ask for? Oh, and his team is really helpful and accommodating – including 10 pm emails when necessary. :-)”
Shegoj Oje
“Bass Orthodontics is a fantastic place. The staff are enthusiastic, friendly and genuinely caring, not least Joan and Alba. I have enjoyed great care under Dr Bass. He is calm, highly skilled and patient. I will recommend the practice to anyone who is looking for quality service with first class overall experience. Highly recommended.”
Anne Lueneburger
“Bass Orthodontics has always felt like a second home. The staff are excellent and meticulous, from the beginning of my treatment plan to the semi-annual check ups, over five years later. A brilliant service that I have recommended to several others, and will continue to do so. Thank you for a brilliant smile!”
Jasmine Mondesir
“Bass Orthodonitcs have given me the best dentist treatment I could have wished for, they literally, over many years have created my new smile, and I will be forever grateful. The staff are friendly and kind and compassionate. Dr Bass is a genius- if you need any dental treatment these are truly the best people to go to!”
Hester Blomfield-Smith
“Four young Hearn’s ventured through the doors of Queen Anne Street with smiles that needed some help. All four finished their treatment with the best of smiles that will last a life time. Thank you to all the team, professional, persevering and polite. I can not recommend Bass Orthodontics more highly.”
Henrietta Hearn